Tandsteen is een verharde laag tandplak die bestaat uit een mineralenlaag. Het uit zich meestal als een gele of bruine kleur op de tanden.
De tandsteen kan ook op of onder de tandvleesrand gaan zitten waardoor het tandvlees ontstoken kan raken. Tandsteen is poreuzer dan tandglazuur, waardoor het gemakkelijker verkleurt.
Tandsteen ontstaat doordat het calcium en fosfaat in het speeksel in de tandplaque gaat zitten. Die tandplaque verhardt zich dus. Er zijn twee soorten tandsteen: subgingivaal en supragingivaal tandsteen. Subgingivaal tandsteen is tandsteen dat onder het tandvlees zit. Supragingivaal tandsteen zit boven het tandvlees op de tand of kies.
Ontstaan
Het speeksel in de mond is rijk aan calcium en fosfaat, dat kan neerslaan op de tanden. Deze zouten reageren met de aanwezige tandplaque en hierdoor ontstaat tandsteen. Een hoge pH-waarde in de mond leidt tot snellere vorming van tandsteen, maar minder gaatjes, terwijl die gaatjes juist worden veroorzaakt door een lage pH-waarde. De lage pH-waarde kan weer helpen tandsteen tegen te gaan. Wanneer iemand goed poetst en dagelijks tussen de tanden reinigt en hiermee alle tandplaque verwijdert, ontstaat er minder tandsteen.
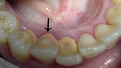
Tandsteen ontstaat het snelst bij de uitgang van speekselklieren, bijvoorbeeld vlak achter de ondertanden.
Het speeksel in de mond is rijk aan calcium en fosfaat, dat kan neerslaan op de tanden. Deze zouten reageren met de aanwezige tandplaque en hierdoor ontstaat tandsteen. Een hoge pH-waarde in de mond leidt tot snellere vorming van tandsteen, maar minder gaatjes, terwijl die gaatjes juist worden veroorzaakt door een lage pH-waarde. De lage pH-waarde kan weer helpen tandsteen tegen te gaan. Wanneer iemand goed poetst en dagelijks tussen de tanden reinigt en hiermee alle tandplaque verwijdert, ontstaat er minder tandsteen.
Tandsteen ontstaat het snelst bij de uitgang van speekselklieren, bijvoorbeeld vlak achter de ondertanden.
Gevolgen
Op de tanden aanwezig tandsteen is ruw, waardoor tandplak er op vast blijft zitten en vervolgens ook verhardt. Als het tandsteen aangroeit tot onder het tandvlees kan dit gaan ontsteken waardoor pockets ontstaan en het bot verloren kan gaan. Het is daarom van belang tandsteen regelmatig te laten verwijderen door een tandarts of mondhygiëniste.
Op de tanden aanwezig tandsteen is ruw, waardoor tandplak er op vast blijft zitten en vervolgens ook verhardt. Als het tandsteen aangroeit tot onder het tandvlees kan dit gaan ontsteken waardoor pockets ontstaan en het bot verloren kan gaan. Het is daarom van belang tandsteen regelmatig te laten verwijderen door een tandarts of mondhygiëniste.